팝업레이어 알림

팝업레이어 알림이 없습니다.

FOOT & ANKLE

발/발목

무지강직증 치료의 새로운 기준!

개재관절 성형술

  • 유합술 없이 좁아진 관절 간격 회복 가능
  • 수술 후 엄지발가락 관절 움직임 유지 가능
  • 본인 관절을 살리는 최신지견의 수술방식
  • 2~4주 후 모든 움직임에 제한 없음
무지강직증
무지강직증

*AI를 활용한 이미지 입니다.

HALLUX RIGIDUS

무지강직증

무지강직증이란 엄지발가락 중족지 관절에 생기는 퇴행성 관절염입니다. 주로 중년의 남성에게서 발생 빈도가 높으나, 여성에게도 많이 발생합니다. 약 50~80%의 가족력을 보이고, 한 측에서 발생하다가 시간이 지나면 양측에서 발생하게 됩니다.

무지강직증

무지외반증을 제외하면 엄지발가락에 생기는 가장 흔한 질병입니다.

무지강직증 증상

대표적인 증상은 엄지발가락에 발생하는 통증과 엄지발가락이 발등이나 발바닥쪽으로 잘 굽혀지지 않는 것 입니다.

통증 및 붓기

엄지발가락에 통증이나 붓기가 발생합니다.

관절 움직임 제한

엄지발가락의 관절 움직임이 제한되기 시작합니다.

신발 착용 제한

통증이나 붓기, 뻣뻣함 등으로 신발착용이 제한됩니다.

무지강직증의 검사법

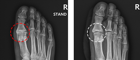
방사선 검사 (X-ray)

X-ray 검사를 통해 중족지 관절 사이의 간격과 골극의 형성을 확인합니다.

이학적 검사

엄지발가락을 발등이나 발바닥쪽으로 굽혀 보며 통증 정도, 운동 범위, 가족력, 직업 등을 확인합니다.

자기공명영상 검사 (MRI)

가장 정확한 검사법으로 뼈의 손상과 더불어 근육 및 신경 등 다른 연부조직의 손상 유무를 가장 정확하게 파악하는 검사법입니다.

비수술 치료

편안한 신발의 착용

편한 신발을 신어 통증 및 붓기가 발생한 엄지발가락 부위에 자극을 주지 않습니다.

주사치료

경우에 따라 스테로이드 주사를 사용하기도 하지만, 반복된 주사는 오히려 퇴행성 변화를 가속화시키므로 주의가 필요합니다.

체외충격파

외부에서 가해주는 충격파를 통해 병변부위를 자극하는 치료법입니다. 혈관을 확장시켜 많은 혈류량을 공급, 치료 부위에 영양분을 제공하여 약해진 인대나 근막과 같은 연부조직을 튼튼하게 해주며 손상된 조직을 재생시키는 치료법입니다.

신장분사치료

병변부위에 극저온(-20도~-80도)의 냉기가스를 분출하여 통증 부위의 온도를 급격하게 낮춰 통증을 줄이는 치료법입니다.

고강도 힐트레이저

고출력의 레이저를 피부와 조직 손상 없이 힘줄, 인대, 신경까지 전달하여 강한 에너지로 염증을 제거하고 조직의 재생을 촉진하여 통증을 완화시키고 회복을 도와주는 치료법입니다.

도수치료

전문치료사의 손으로 신체의 균형을 바르게 잡아주며 인대나 근육, 신경을 기능적으로 올바르게 만드는 치료를 말합니다.

수술적 치료

The Best or Unhealthy

대학병원, 관절·척추병원에서의 오랜 임상경험과 국내·외 학술대회 및 논문 발표 업적을 바탕으로 믿을 수 있는 치료를 시행합니다.

증상이 중증이거나 비수술적 치료가 효과가 없을 경우 수술적 치료를 시행하게 됩니다.

개재관절성형술

therapy therapy

기존에 엄지발가락 관절 간격이 살아있는 경우에는 자라난 뼈를 절제하여 관절의 가동범위를 만들어주는 골극절제술로 증상완화가 가능하지만, 관절간격이 없어지고 연골 손상정도가 심한 경우에는 관절유합술을 시행해 왔습니다. 그러나 유합술은 통증은 줄어들지만 관절 움직임이 없어 보행의 불균형을 초래하고, 인접관절에 관절염이 발생하는 등의 부작용이 있습니다.

이런 부작용을 보완한 것이 바로 개재관절성형술로 좁아진 관절 간격 사이로 자신의 근육막을 이식하여 넣어줌으로써, 관절 간격을 회복함과 동시에, 관절 움직임은 살릴 수 있는 획기적인 방법의 수술법입니다.

therapy therapy

의학박사가 설명해주는 수술사례

경기도 의정부시 평화로 389 2층~8층
상호명 : 연세베스트병원 ㅣ 사업자 번호 : 264-99-01344 ㅣ 대표자 : 장철영
COPYRIGHT(C) YONSEI BEST HOSPITAL. ALL RIGHTS RESERVED.

  • 031.874.0119

  • 평 일- 09:00 ~ 18:00
    토 요 일- 09:00 ~ 13:00
    점심시간- 13:00 ~ 14:00